A King’s Confession That Shattered a Prince

The first crack in Prince William’s reality didn’t come with shouting. It came with a confession whispered by a King who was also, unbearably, just a father….

BREAKING: Former U.S. President to Be Arrested for Treason and Espionage

In a move that could shake the nation to its core, the Department of Justice is reportedly preparing to indict and arrest former President Barack Obama. Sources…

Just 30 minutes ago, Savannah Guthrie was faced with the news no parent is ever prepared to hear.

The atmosphere outside the studios at Rockefeller Center was unusually quiet this morning, marked not by crowds and cameras, but by grief and reflection. For the first time in…

URGENT! Severe thunderstorm moving towards the city of…

URGENT! A powerful and fast-moving severe thunderstorm is rapidly advancing toward the city , prompting heightened concern among local authorities and residents. Weather conditions have intensified over…

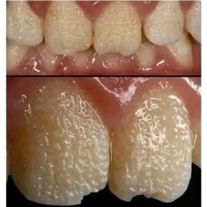
This Is What Your Teeth Can Become When You Eat Certain Foods Every Day

Do you know how small daily habits can slowly change your smile without you noticing? In this article, we are talking about what can happen to your teeth when…

It just happened. She didn’t have time and gave birth in… See more

She didn’t make it to the delivery room in time and gave birth right there in the hallway. Hospital staff rushed to help, but the moment was…

These are the consequences of being intimate with… See more

There are many myths about menstruation, and despite how absurd many of them sound, some women have doubts about the veracity of what they’ve heard. Furthermore, many…

Breaking News:  Young man who… captured in his hideout

EXTRA, EXTRA! STOP THE PRESSES AND PUT ON THE COFFEE BECAUSE THINGS ARE GETTING HOT! THE ESCAPE IS OVER, PEOPLE! THE BEAST THAT KEPT US UP AT…

Latest News: US begins its war… See more

The United States has launched a series of new military operations aimed at counterterrorism and regional security. Officials state that the actions are carefully coordinated with international…

The famous Mhoni Vidente does it again, predicting that Donald Trump…See more

Famous astrologer and psychic Mhoni Vidente has once again drawn attention with a new prediction involving former U.S. President Donald Trump. According to her, a major development…